補綴

むし歯などで歯の形を大きく損なった場合にかぶせものをしたり、歯自体を失った場合にその部分をブリッジや入れ歯、インプラントなどで補う治療を補綴(ほてつ)治療と言います。
補綴治療は見た目と機能だけでなく、歯の寿命を左右する重要な治療ですので、綿密な計画の下で行う必要があります。
豊富な経験を有し、日本補綴歯科学会の認定する専門医である院長にお任せください。

診療の流れ

STEP01

初診とカウンセリング

  • 患者さんの歯の状態を評価し、治療の目的や希望をヒアリングします。
  • クラウン、ブリッジ、入れ歯などの補綴方法について説明します。

STEP02

歯の準備

  • 欠損した歯を適切に準備します。これには歯の削り込みや形成が含まれます。

STEP03

型取りと仮歯の装着

  • 歯の型を取り、補綴物を作成するための基礎となるモデルを作成します。
  • 仮歯を装着して、患者さんが日常生活を送りやすくなるようにします。

STEP04

補綴物の試着と調整

  • 完成した補綴物を試着し、適切なフィットと咬み合わせを確認します。
  • 必要に応じて微調整を行い、最適な状態にします。

STEP05

最終的な装着

  • 補綴物が適切にフィットすることを確認したら、最終的に装着します。
  • クラウンやブリッジは接着剤で固定され、入れ歯はしっかりと保持されます。

STEP06

アフターケアと定期的なメンテナンス

  • 患者さんに適切なアフターケアの指示を提供します。
  • 定期的なメンテナンスを受けて、補綴物の状態を維持します。

治療例

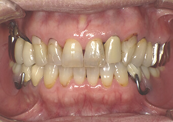
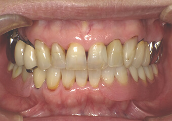
かぶせもの

被せ物 施術前
被せ物 施術前
被せ物 施術後
被せ物 施術後

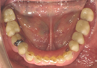
奥歯の金属のかぶせ物、詰め物をセラミックスで再修復しました。セラミックスは欠けやすい(壊れやすい)と言われたのは昔の話で、噛む力にも耐えうる十分な強度を持ち合わせています。周りの色調に合わせるための色付けを省いて作製することで、コストを抑えることもできます。

被せ物 施術前
被せ物 施術前
被せ物 施術後
被せ物 施術後

前歯3本の再修復 ジルコニアという素材のみを用い、精巧な色付けを施しています。

入れ歯

一般的な設計の入れ歯(保険適用)
一般的な設計の入れ歯(保険適用)
金属のバネのない入れ歯(正面)
金属のバネのない入れ歯(正面)
金属のバネのない入れ歯(下顎)
金属のバネのない入れ歯(下顎)

金属のバネを使用しない“ノンクラスプデンチャー”の製作も可能です。保険適用の義歯と比較して外観の回復の点で大きなメリットがあります。

料金

かぶせもの(クラウン)

オールセラミック 奥歯 66,000円
前歯 79,200円
ジルコニア 奥歯 71,500円
前歯 88,000円
メタルボンドセラミック 99,000円
ゴールド 110,000円
ラミネートべニア 88,000円

つめもの(インレー)

オールセラミック 基本色 55,000円
ジルコニア 基本色 60,500円
ゴールド 88,000円