ホワイトニング

  • HOME
  • ホワイトニング

ホワイトニングは重度の変色歯でなければ受けられる治療ではないというイメージをいまだにお持ちではないですか?健康な歯であっても、歯の色調に不満を持っていらっしゃる方は少なくありません。現在では薬剤の改良により、簡便に安全に歯の色調を改善できます。「歯を白くしたい」と考えていらっしゃる方、お気軽にご相談ください。

診療の流れ

STEP01

初診とカウンセリング

  • 患者さんの歯の色調やホワイトニングの希望をヒアリングします。
  • 歯科医師が適切なホワイトニング方法を提案します。

STEP02

歯のクリーニングと予備処置

  • 歯の表面の汚れを除去し、クリーニングを行います。
  • 歯茎を保護するためにガムシールドを使用することもあります。

STEP03

ホワイトニング剤の適用

  • 歯の表面にホワイトニング剤を塗布します。
  • オフィスホワイトニングでは、専用のランプやレーザーを使用してホワイトニング剤を活性化させます。

STEP04

ホームホワイトニングの指示

  • 患者さんにホームホワイトニングの方法を説明し、カスタムフィットのトレイとホワイトニングジェルを提供します。
  • 指示通りに自宅でホワイトニングを行います。

STEP05

定期的なメンテナンス

  • ホワイトニングの効果を持続させるために、定期的なメンテナンスを受けることをお勧めします。

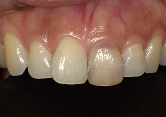
事例

ホワイトニング例

施術前
施術前
施術後
施術後

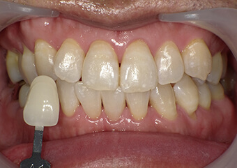
40代男性です。前歯から奥歯にかけて上8本、下8本の計16本のオフィスホワイトニングを行いました。
施術時間は約1時間でした。年齢、性別にかかわらず、歯が白くなると気分も変わります。

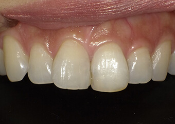
ホワイトニング例

漂白前
漂白前
漂白後
漂白後

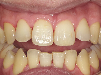
歯の内部に薬剤を置いて約1カ月目の変化です。
数回の薬剤交換だけで、歯を削ってかぶせものにすることなく元の白さを取り戻しました。

ホワイトニングの種類

オフィスホワイトニング

オフィスホワイトニング

オフィスホワイトニングとは、プロの手によって院内で行う方法です。色調の変化が速いため、ご希望の白さになるまでの時間は短くて済みます。ホワイトニングしたい歯の本数が少ない場合は特におススメです。
【オフィスホワイトニングの流れ】
1.ホワイトニングの効果を高めるため、事前に歯の表面を磨きます。
2.歯の表面に薬剤を塗って約20分間放置し、色調の変化を確認しながらこれを繰り返します。
3.ホワイトニングした歯を研磨剤でポリッシングします。
(注)使用する薬剤によって施術方法や時間は多少異なります。

ホームホワイトニング

ホームホワイトニング

ホームホワイトニングとは、その名の通り、ご自宅にてホワイトニングを実践していただくことです。
【ホームホワイトニングの流れ】
1.歯の検査をして、むし歯や知覚過敏などがないか検査します。
2.マウスピース作成のための歯型を採取します。
3.ホワイトニング効果をあげるため、当院にて、歯のクリーニングを行います。
4.手渡されたマウスピースに薬剤塗り、主に就寝時に装着していただきます。お望みの色調になるまで数日間継続していただきます。
オフィスホワイトニングよりも術後に歯がしみる症状が出にくい利点がありますが、ご自身で行う面倒があり、ホワイトニング効果もどちらかというと控えめです。

パウダークリーニング

パウダークリーニング

スイスEMS社製エアフロー™ を用いて超微細なウォータースプレーと専用パウダーを歯の表面にジェット噴射することにより、着色(ステイン)や歯垢(プラーク)、歯の表面にこびりついたバイオフィルム(歯ブラシでは取れない、むし歯や歯周病の細菌が強固にかたまった集合体)を短時間できめの細かいクリーニングを行います。 術中の痛みは少なく、クリーニング後は歯の表面がつるつるになり、汚れの再付着を防ぎます。クリーニング後の歯のつるつる感をぜひ体験してください!

施術前
施術前
施術後
施術後

よくあるご質問

Q1. 痛くないですか?

ホワイトニングを施術する前に、歯の検査をします。そこで、むし歯や知覚過敏などを治療した後、施術しますので痛みはほとんどありません。

Q2. ホワイトニングの効果はどれぐらい持続しますか?

個人差があります。施術後の生活習慣(お茶やコーヒーを頻繁に飲む)や嗜好(タバコ)により大きく左右されるからです。施術後も定期的(3~6ヶ月に1回程度)にメンテナンスに当院までお越しいただくことをお勧めしています。

Q3. オフィスホワイトニングとホームホワイトニングではどちらがお勧めですか?

これは、ケースバイケースです。オフィスホワイトニングは短期間で終了するため時間のない方にお勧めです。ホームホワイトニングは、いつでもどこでも時間と場所を選びません。なかなか当院まで来られない方にお勧めです。また、デュアルホワイトニングと言われる、オフィスとホームを並行して施術する方法は、より一層のホワイトニング効果が期待できます。

ホワイトニングに関する注意事項

*ホワイトニングの効果は、個人差がありますことを予めご了承ください。
*ホワイトニング終了後の生活習慣(タバコやコーヒーなど着色飲料の摂取)により、ホワイトニングの効果の維持が難しい場合があります。

料金

ホームホワイトニング 22,000円
オフィスホワイトニング 基本手技料9,000円
+1本につき1,000円
クリーニング 6,000円
■オフィスホワイトニングの例
上下前歯12本の場合 21,000円
※3カ月以内の2回目は、9,000円+1本につき500円